動脈硬化検診
特定健診(メタボ健診)でひっかかってしまった方へ

次のステップとして、現在、どの程度動脈硬化が進んでいるかの検診を行うことをお勧めいたします。特定健診でわかることはメタボであるかどうかのみであるため、実際にどの程度動脈硬化が進行しているのか、どれくらい健康リスクがあるのか詳細がわかりません。そのため当院では特定健診の次の段階として、動脈硬化検診を実施し、その結果とこれまで心臓血管外科で豊富な手術経験やノウハウをもとに、今後の治療方針を決めていきます。
検査機器
頚動脈エコー
頚動脈は首の両側にありますが、ここに動脈硬化のある人は高率に心筋梗塞や脳梗塞をおこすことがわかっています。この検査では、頚動脈の動脈硬化の程度や血流を見ます。検査は痛みもなく10分程で終わり、食事や薬を止める必要もありません。
下の写真は左が頚動脈の横断面、右が縦断面で、動脈硬化のため血液の流れる部分が狭くなっています。

脈波伝播速度(PWV、血管年齢測定)、足関節血圧/上腕血圧比(ABI)
両腕、両足の血圧と心電図、心音を同時測定します。血管内を心音が伝わる速度から血管の硬さを測り、腕と足の血圧差から血管のつまり具合をみます。また、呼吸による心拍数の変動から、糖尿病などによる自律神経の異常も検査できます。

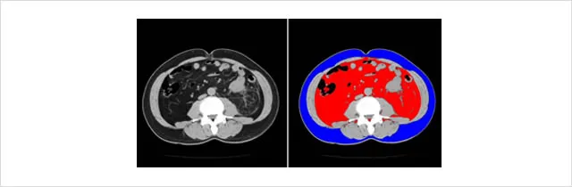
内臓脂肪測定
お臍の部位での内臓脂肪量をCTで測ります。これが100cm2を超えると、高血圧、脂質異常、高血糖といった動脈硬化の危険因子を持つことが多くなります。特定健診の男性85cm以上、女性90cm以上の腹囲の基は、100cm2に相当する腹囲を男女別に調べて決められました。
※赤部が内臓脂肪、青部が皮下脂肪(下記写真)
※赤部が内臓脂肪、青部が皮下脂肪(下記写真)

CT血管造影
造影剤を用いてCT撮影を行い、コンピューターで画像処理を行って血管の状態を見ます。写真では右足の血管が閉塞しています。



